여드름 ▼
여드름흉터,자국 ▼
등,가슴여드름 ▼
탈모 ▼
다이어트 ▼
성형붓기 ▼
모공각화증 ▼
피부질환 ▼
피브로 소개 ▼
커뮤니티 ▼
상담 및 예약 ▼
커뮤니티 > 피브로포스팅+
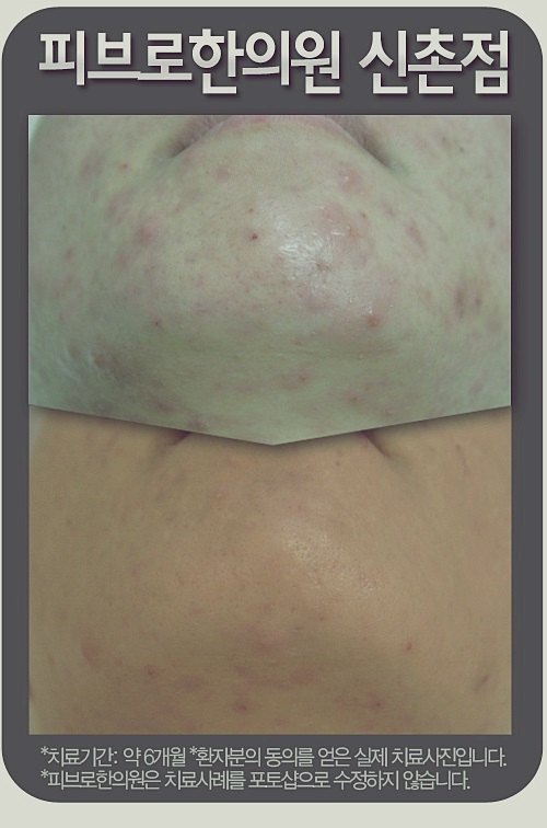
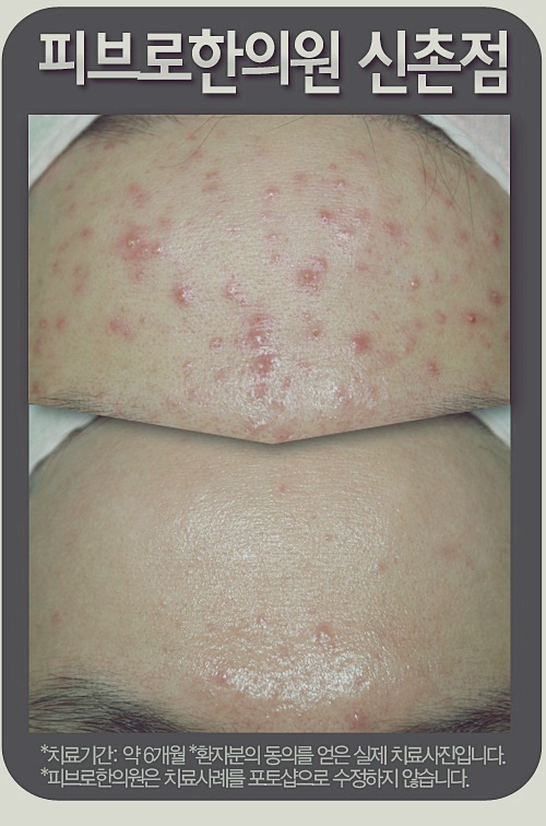
  • 신촌피부과 여드름 한방치료 28년이나!?
  • 2016-05-26 hit.7,258

 

 

신촌피부과 여드름 한방치료 28년이나!?

 

 

 

 

 

 

 

내가 생각한 그 이상의 여드름치료를 보여줬었던

 

피브로한의원 신촌점!

 

 

무려 28년이라는 긴 시간의 임상경험을 가지고 있는

 

신촌피부과 한의학박사 홍대성 원장님이

 

상담, 정밀진단부터 압출 등 치료와 처방까지 직접 도와드린답니다.

 

 

 

 

 

 

 

 

 

 

단순한 압출을 넘어서

 

피부 속 여드름의 씨앗,

 

몸 속 여드름의 뿌리까지 동시에 치료해드리고 있는

 

 

신촌피부과 피브로한의원 신촌점!

 

 

피부의 염증부터 몸 속 원인, 자국&흉터까지

 

한의학박사 원장님한테 동시에 치료해보세요~

 

 

 

 

 


 

 

 

 

 

옷 또한 입어보고 결정하듯이,

 

여드름치료 또한 직접 경험해볼 수 있도록

 

신촌피부과에서는 여러가지 이벤트를 준비했답니다.

 

 

위 '여드름치료 미리해보기 이벤트'부터

 

다양한 이벤트로 여드름치료를 경험할 수 있답니다.

 

 

 

 


 

 

 

 

 

증상과 원인, 체질에 따른 1:1 맞춤치료부터

 

여드름 + 재발 예방 + 흉터/자국 제거까지!

 

 

한의학박사 원장님이 하나부터 열까지 도와드리는

 

신촌여드름치료 피부과 피브로한의원 신촌점!

 

 

28년이라는 긴 시간의 노하우,

 

이제 내 피부를 위하여 사용하겠습니다.

 

 



 





 

 

(위 이미지 클릭시 신촌피부과 여드름치료 피브로한의원 신촌점 페이지로 이동합니다.)

 



 

 

 

 

  • 목록

지점전체이미지
  • 개인정보수집동의 [개인정보취급방침]