여드름 ▼
여드름흉터,자국 ▼
등,가슴여드름 ▼
탈모 ▼
다이어트 ▼
성형붓기 ▼
모공각화증 ▼
피부질환 ▼
피브로 소개 ▼
커뮤니티 ▼
상담 및 예약 ▼
커뮤니티 > 피브로포스팅+
  • 범계피부과 여드름치료 다른 점은?
  • 2016-05-25 hit.7,527

 

 

범계피부과 여드름치료 다른 점은?

 

 

 

 

 

흔히 생각하는 여드름치료는

 

단순히 피부 겉 염증만 달래주는 치료,

 

그리고 "일시적인 효과"만 주는 치료였다면?

 

 

 

여기 범계피부과에서 진행하는 여드름치료는

 

"일시적인 효과, 그 이상의 결과"를 보여드린다고 합니다.

 

 

과연, 어떻게 다른 것일까요?

 

 

 

 

 


 

 

 

 

 

범계역 2분거리!

범계여드름치료피부과

 

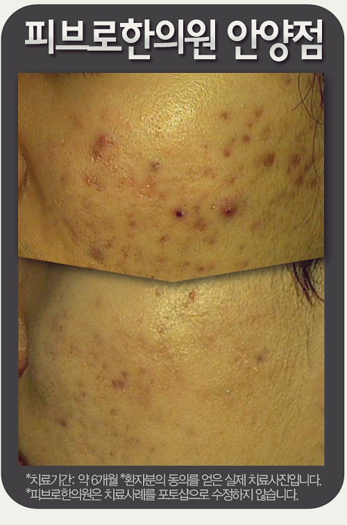
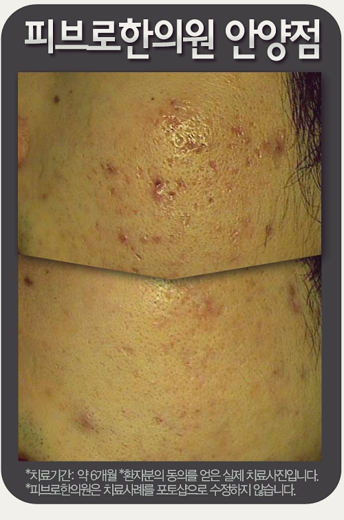
피브로한의원 안양점에서는

 

 

피부&체질 정밀진단과 클렌징, 압출, 약침치료, 외용제, 한방팩 등

 

한방 여드름치료를 미리 경험해볼 수 있는 이벤트를 통하여

 

 

내 피부에 가장 적합한 여드름치료 방법을 제시한 후,

 

증상과 원인을 동시에 치료해드리고 있습니다.

 

 

 

 

 

 

 

 

 

 

 

범계피부과에서는

 

우리가 알고있던 '여드름치료' 뿐만 아니라,

 

몸 속까지 치료하는 '원인치료'를 동시에 진행합니다.

 

 

 

장부의 불균형, 순환장애, 독소와 노폐물 등

 

몸 속 보이지 않는 곳에서 여드름을 유발한 '원인'을

 

내 체질에 맞춰 조제, 처방되는 1:1 맞춤 한약으로 제거하여

 

 

결과적으로는 피부, 그리고 몸을

 

동시에 건강하게 만들어드리는 것이죠.

 

 

 


 

 

 

 

 

 

평일 오후 9시 야간진료를 통하여

 

바쁜 현대인들도 쉽게 치료를 받을 수 있는 범계피부과!

 

 

 

'치료 후 재발 예방'이라는 여드름치료 포인트를 통하여

 

누구나 생각하고 있는 치료의 결과 그 이상을 보여드리고 있습니다.

 

 

 

 

 




 

 

 

 

나에게 꼭 맞춘 "1:1 맞춤치료"

 

증상과 원인을 동시에 제거하는 "내치+외치치료"

 

 

그리고, 원장님이 상담&진단부터 치료&처방까지

 

직접 도와드리는 특별한 프로그램까지!

 

 

 

범계역 2분거리 범계피부과에서

 

"마지막 여드름치료"를 시작해보세요.

 

 

 

 

 


 

(위 이미지 클릭시 범계피부과 여드름치료 피브로한의원 안양점 페이지로 이동합니다.)

 

 

 

 

  • 목록

지점전체이미지
  • 개인정보수집동의 [개인정보취급방침]