신천피부과 한의원여드름치료 남다르게
왜 얼굴에 올라온
여드름만 치료하려고 하셨나요?
조금만 더 멀리 본다면,
피부에 남은 흉터와 자국부터
치료 후 재발까지 방지할 수 있는데 말이죠!
마지막 한의원여드름치료,
신천피부과에서 직접 만나보세요.

신천역 1분거리, 평일 오후 9시 야간진료!
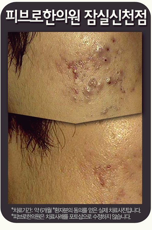
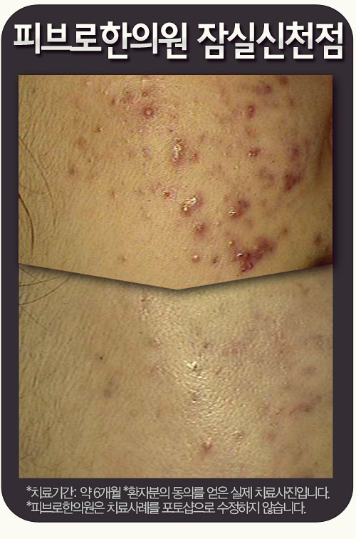
신천피부과 피브로한의원 잠실점에서는
여드름제거, 흔적 제거, 재발 방지가 동시에 이뤄지는
한의원여드름치료를 통하여
더 이상의 여드름 증상 발생 및 재발을 막고,
치료 후 깨끗해진 피부가 유지될 수 있게 도와드린답니다.

여드름은, 증상은, 발생 유형은, 그리고 원인은
사람마다 너무나도 천차만별 다른데 불구하고
왜 지금까지 다른사람들과 똑같은 치료를 받으셨나요?
신천피부과의 한의원여드름치료는
내 여드름의 증상, 그리고 원인에 꼭 맞춘
1:1 맞춤 한의원여드름치료 프로그램을 구성하여
치료 횟수, 강도, 치료 프로그램들을
오직 나에게만 맞춰 치료합니다.

염증 제거 및 한방진정케어, 재생관리는 물론
미세침, 약침치료, 한방필링 등
피부의 흉터와 자국을 제거하는 여러 치료들.
그리고 몸 속 여드름의 원인을 제거하는
한약 처방까지 모두 1:1 개인별 맞춤으로 한다면?
내가 생각한 그 이상의 결과,
신천피부과에서 만나볼 수 있습니다.

원장님이 직접 자기 자신에게 치료를 진행해보고
증상에 대한 개선이 빠른 한의원여드름치료만을 진행하는
신천피부과 피브로한의원 잠실점!
누구도 해결해주지 못했었던 문제들도
신천피부과와 함께 쉽게 풀어보시기 바랍니다.





(위 이미지 클릭시 신천피부과 한의원여드름치료 이벤트 페이지로 이동합니다.)


다음글
청주피부과 이벤트..
이전글
신촌피부과 여드름..

