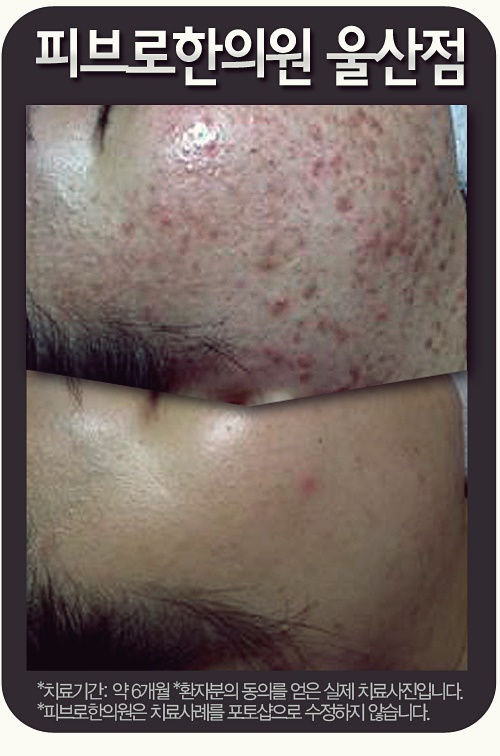
울산피부과 삼산동 내가찾던 한방치료
합리적인 가격으로 비용 고민을 해결함과 동시에
원장님의 제대로 된 치료를 통하여
내 피부의 고민을 모든지 들어준다면?
여드름부터 탈모, 지루성피부, 아토피, 건선,
한방성형, 다이어트, 모공각화증, 성형붓기 등...
피부질환의 모든 고민들,
이제는 울산피부과 피브로한의원 울산점에서 풀어보세요.


롯데백화점 뒤편 스타벅스 건물 6층에 위치한
삼산동피부과 피브로한의원 울산점에서는
여러가지 이벤트와 원장님의 체계적인 치료로
잃어버린 미소를 되찾아드리고 있답니다.

미리 준비되어 있었던 치료 프로그램으로
한 분 한 분에게 똑같이 치료하는 것이 아니라,
내 현재 피부상태, 체질, 원인에 꼭 맞춰서
치료과정은 물론 강도와 횟수 등
오직 나만을 위한 1:1 맞춤 치료프로그램을 구성하여
더욱 좋은 증상 개선과
치료 후 재발까지 예방하는 울산피부과!






정성어린 서비스와 체계적인 치료로
이제는 피부가 단점이 아닌 장점으로 바뀔 수 있도록
하나부터 열까지 도와드리는 삼산동피부과!
더 이상의 피부 증상으로 고민하는 일 없도록,
울산피부과에서 치료 후 재발까지 바로잡아드리겠습니다.



다음글
광주여드름피부과 ..
이전글
창원피부과 한방치..

