여드름 ▼
여드름흉터,자국 ▼
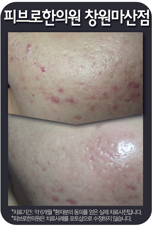
등,가슴여드름 ▼
탈모 ▼
다이어트 ▼
성형붓기 ▼
모공각화증 ▼
피부질환 ▼
피브로 소개 ▼
커뮤니티 ▼
상담 및 예약 ▼
커뮤니티 > 피브로포스팅+
  • 창원피부과 한방치료 남다른 결과 비법은?
  • 2016-06-03 hit.5,928

 

 

창원피부과 한방치료 남다른 결과 비법은?

 

 

 

 

 

관리하고 치료를 열심히 해봐도

 

잠깐 한눈팔면 재발하는 증상?

 

 

창원피부과 피브로한의원 창원마산점에서는

 

"증상+원인"을 동시에 바로잡는 치료를 통하여

 

치료 후 재발까지 바로잡아드리고 있답니다.

 

 

남다른 결과,

 

이제 내가 직접 경험해보세요.

 

 

 

 

 

 

 

 

 

 

 

전국 20개 네트워크, 10여년의 공동연구 노하우!

 

피브로한의원은 이번 10주년 이벤트로

 

 

여드름, 흉터/자국, 등&가슴여드름,

 

탈모, 성형붓기, 모공각화증 등 피부질환의 문제를

 

이벤트를 통해 합리적인 비용으로 치료해드리고 있답니다.

 

 

 

 

 

 

 

 

 

 

10여년동안 한 자리에서

 

오직 "당신"만을 위한 치료를 진행한 창원피부과!

 

 

변혜진 원장님의 1:1 맞춤 치료를 통하여

 

내가 기대한 그 이상의 결과를 만들어 드렸기 때문에

 

 

지금까지, 그리고 앞으로도

 

더욱 긍정적인 결과를 기대할 수 있습니다.

 

 

 


 







 

 

 

 

여드름, 흉터/자국, 등&가슴여드름,

 

탈모, 성형붓기, 모공각화증, 지루성피부,

 

아토피, 건선, 다이어트 등..

 

 

 

아무리 고민하고 노력해봐도 없어지지 않았다면

 

더 늦기전에 창원피부과에 방문해보시기 바랍니다.

 

 

 

 

 



  • 목록

지점전체이미지
  • 개인정보수집동의 [개인정보취급방침]