여드름 ▼
여드름흉터,자국 ▼
등,가슴여드름 ▼
탈모 ▼
다이어트 ▼
성형붓기 ▼
모공각화증 ▼
피부질환 ▼
피브로 소개 ▼
커뮤니티 ▼
상담 및 예약 ▼
커뮤니티 > 피브로포스팅+
  • 좁쌀여드름한의원 전국20개 네트워크
  • 2016-06-27 hit.7,286

 

 

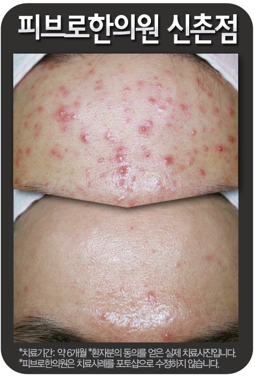
좁쌀여드름한의원 전국20개 네트워크

 

 

 

 

 

이마에서부터 볼, 턱, 입주변,

 

그리고 가슴과 등까지!

 

오돌토돌한 이 좁쌀여드름으로 인해

 

청소년부터 성인 이후까지, 지금 이 순간에도

 

고통받고 있답니다.

 

 

여기 전국 20개 네트워크로 이루어진 좁쌀여드름한의원

 

피브로한의원에서는 이 부분의 문제를

 

정확하게 치료해드리고 있으니 더 이상 걱정하지 마세요~

 

 

 

 

 

 

 

 

좁쌀여드름은 다른 여드름보다 더더욱

 

같은 곳에만 발생하고, 재발이 잦으며

 

없어지는 과정에서 색소침착이나 여드름흉터가 남기 쉽습니다.

 

 

그렇기에 전국 20개 네트워크 좁쌀여드름한의원은

 

치료 전 좁쌀여드름에 대해 정확하게 상담해드리고,

 

내 증상과 원인에 따른 좁쌀여드름한의원 치료를 진행하고 있답니다.

 

 

 

 

 

 

 

 

좁쌀여드름한의원을 찾는 이유,

 

바로 재발을 예방하는 "몸 속 치료"가 있기 때문입니다.

 

 

이마, 콜, 볼, 입가/턱 등

 

여드름이 발생하는 곳에 따른 몸 속 치료를 통해

 

피부 겉 여드름과 동시에 몸 속 여드름의 씨앗을 제거해드리는

 

좁쌀여드름한의원 피브로한의원!

 

 

 

 


 

 

 

 

좁쌀여드름의 증상과 원인을 동시에 바로잡아

 

치료 후 재발을 예방하고,

 

피부에 남아있는 흉터와 자국까지 동시에 제거해드리는

 

전국 20개 네트워크 피브로한의원!

 

 

이제, 내가 직접 좁쌀여드름한의원 치료를 겪고

 

피부의 모든 문제점들을 해결할 시간입니다.

 

 

 

 

 

 






 

(위 이미지 클릭시 좁쌀여드름한의원 이벤트 페이지로 이동합니다.)

 

 

 


  • 다음다음글
  • #게시물이 없습니다.
  • 목록

지점전체이미지
  • 개인정보수집동의 [개인정보취급방침]