여드름 ▼
여드름흉터,자국 ▼
등,가슴여드름 ▼
탈모 ▼
다이어트 ▼
성형붓기 ▼
모공각화증 ▼
피부질환 ▼
피브로 소개 ▼
커뮤니티 ▼
상담 및 예약 ▼
커뮤니티 > 피브로포스팅+
  • 여드름피부과비용 이벤트로 혜택받는다면?
  • 2016-06-21 hit.7,328

 

 

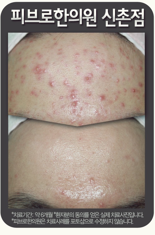
여드름피부과비용 이벤트로 혜택받는다면?

 

 

 

 

 

이마, 코주변, 볼, 입주변, 턱 등...

 

얼굴에 끊임없이 발생하는 여드름이라면?

 

 

이번 피브로한의원의 전국 20개 지점 10주년 기념으로

 

진행하고 있는 여드름피부과비용 이벤트로

 

특별한 혜택을 받을 수 있어요!

 

 

여드름 + 흉터/자국 + 넓어진 모공

 

세 가지를 동시에 치료하는 "트리플 케어"

 

이번 여드름피부과비용 놓치지 마세요!

 

 

 

 






 

 

 

 

전국 20개 지점에서 10여년동안 공동연구한

 

한방 네트워크 피브로한의원!

 

 

단순히 가격만 저렴한 여드름피부과비용이 아닌,

 

내 피부의 모든 고민을 한번에 해결하기 위하여

 

 

치료 프로그램 또한 나에게 꼭 맞춘

 

1:1 맞춤 치료프로그램만을 진행한답니다.

 

 

 


 

 

 

 

 

또한, 피부에 남은 모든 흔적들을 동시에 제거하고

 

치료 후 재발예방 및 피부체질 강화까지!

 

 

더 이상 여드름으로 고민하는 분들이 없을 때까지

 

피브로한의원은 또 노력하고, 또 연구합니다!

 

 

 

 

 

 

 

 

 

뿐만 아니라 여드름이 반복되는 분들에게

 

추가적으로 처방되는 맞춤 한약까지!

 

 

가까운 피브로한의원에서

 

언제든 여드름피부과비용을 혜택 받고,

 

내 피부에 꼭 맞는 치료를 받아보시기 바랍니다.

 

 

 


 

 

(위 여드름피부과비용 이미지 클릭시 이벤트 페이지로 이동합니다.)

 

 

 

  • 목록

지점전체이미지
  • 개인정보수집동의 [개인정보취급방침]