여드름흉터피부과 전국20개 네트워크 한의원
피부에 가득한 여드름흉터를 치료하려는 분들에게
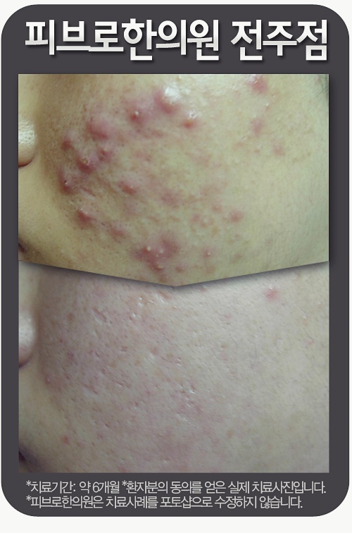
여드름, 여드름흉터, 자국과 넓어진 모공까지
동시에 치료해드리고 있는 이 곳!
전국 20개 네트워크 한의원 피브로한의원과 함께
여드름흉터에 대한 모든 고민을 해결하고,
비용적인 부분까지 이벤트로 해결해보세요~

전국 20개 네트워크 피브로한의원은
자연치유력과 재생력을 끌어올리는 치료방법을 통해
여드름흉터와 여드름자국, 넓어진 모공을
동시에 치료하고 있는 여드름흉터피부과 입니다.
피부에 자극을 줄인 순한 한방치료를 통하여
잃어버린 건강한 피부를 되찾아보세요~


여드름흉터피부과 치료를 통하여
피부의 전체적인 재생력을 끌어올리고,
피부 전체가 맑고 건강한 피부로
돌아갈 수 있게 도와드리는 피브로한의원!
여러 침구치료와 약침, 그리고 미세침과 한방필링을 통해
하루라도 더 빠르게 피부를 개선시켜보시기 바랍니다.





(위 이미지 클릭시 여드름흉터피부과 이벤트 페이지로 이동합니다~)



다음글
모공각화증 닭살피..
이전글
등여드름없애는방..

