전주피부과 이벤트를 통한 증상+원인 치료
치료는 하고 싶었지만
비용이나 시간적인 부분으로 인해 미뤄왔었던 치료,
하지만 더는 미룰 수 없기 때문에
어떻게서든 치료를 선택해야 한다면?
전북 지역에서 10여년동안 피부질환을 연구하고, 치료했었던
전주피부과 피브로한의원 전주점의 치료를 통해
모든 고민들을, 해결해보세요!

매주 화요일 야간진료! 롯데백화점 부근!
전주피부과에서는 이번
전국 20개 지점 피브로한의원의 10주년 이벤트를 통하여
치료비용의 부담을 대폭 줄이고,
1:1 맞춤치료를 통하여 치료 효과를 상승시키고 있답니다.

피브로한의원 전주점은
한의학박사 원장님이 1:1 개인별 맞춤 치료 프로그램을 구성하여
상담, 검사, 정밀진단부터 모든 치료 과정을
내 상태에 꼭 맞춰서 진행하는 전주피부과 랍니다.
그렇기에 치료기간과 비용의 부담을 덜어주는 것은 물론,
치료 결과 또한 기대 이상으로 보여드리고 있습니다.






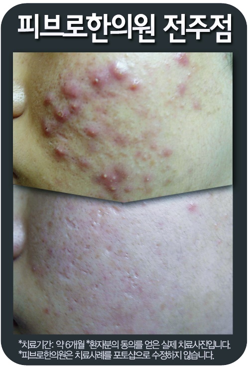
여드름, 흉터/자국, 등&가슴여드름, 탈모,
지루성피부, 건선, 아토피, 성형붓기,
모공각화증 등의 문제점들!
더는 혼자 앓지말고, 전주피부과에 맡겨보세요!
피브로한의원 전주점 김혜윤 원장님이
오직 나만을 위한 증상+원인 치료 프로그램을 구성해드립니다.




다음글
신림피부과 신림역..
이전글
청주피부과 이벤트..

