여드름 ▼
여드름흉터,자국 ▼
등,가슴여드름 ▼
탈모 ▼
다이어트 ▼
성형붓기 ▼
모공각화증 ▼
피부질환 ▼
피브로 소개 ▼
커뮤니티 ▼
상담 및 예약 ▼
커뮤니티 > 피브로포스팅+
  • 화농성여드름관리 Point.3
  • 2016-03-15 hit.6,496

 

 

 

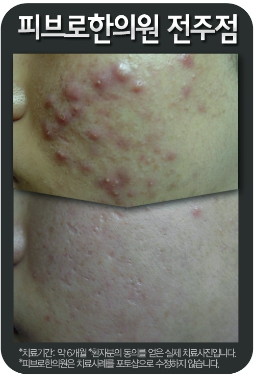
화농성여드름관리 Point.3

 

 

 

 

 

 

얼굴에 뭐가 났다고 해서

 

무조건 다 같은 여드름이라는 판단은 NO!

 

 

 

뜨거운 열과 농포가 함께 있는 화농성여드름은

 

그 트러블의 형태에 맞게끔 치료하는 것이 좋아요!

 

 

 

흔하게 나타나면서도 얼굴에 자국과 흉터까지 동반하는

 

화농성여드름 관리에 대해 제대로 알아봐요!

 

 

 

 

 

 

 

 

 

 

 

 

알갱이 같은 피지덩어리가 있는 좁쌀여드름이나

 

구진성여드름 같은 경우 적절한 관리를 진행한다면

 

비교적 쉽게 개선할 수 있답니다.

 

 

 

 

하지만 화농성여드름은 발생 그 자체만으로도

 

피부 조직에 손상을 입히기 때문에 여드름흉터와 색소침착이

 

동시에 동반될 수 있답니다.

 

 

 

 

 

 

 

 

 

 

또한, 몸 속 상열감과 장부기능 저하, 기혈순환 정체 등

 

내적인 문제들이 쌓여있을 가능성이 높기 때문에

 

 

화농성여드름관리 치료를 진행할 시 피부와 몸을

 

동시에 바로잡는 것이 중요하다고 해요!

 

 

 

 

전국 20개 네트워크 피브로한의원에서는

 

피부 치료와 시술을 진행하면서

 

동시에 몸 속의 문제들을 해결할 수 있는 프로그램을 제시한답니다.

 

 

 

 

 



 

 

 

 

 

 

보이는 여드름과 함께

 

보이지 않는 여드름의 원인까지!

 

 

 

전국 20개 네트워크 피브로한의원에서는

 

오직 나만을 위해 진행하는 피부 겉 + 몸 속 치료를

 

 

"1:1 개인별 맞춤치료 프로그램" 구성을 통해 시작합니다.

 

 

 

 

얼굴에 쏠리고 정체된 열을 내리면서

 

몸 전체의 순환을 원활하게 해주는 몸 속 치료와 함께

 

 

트러블과 함께 생긴 붉은 자국, 패인 흉터들까지

 

동시에 없애주는 피부 겉치료를!

 

 

 

 

 






 

 

 

 

잠깐 반짝이는 효과를 넘어서

 

치료 후 재발 예방까지!

 

 

 

더 이상 반짝 눈속임이 아닌,

 

유지하는 화농성여드름관리를 진행해보시기 바랍니다!

 

 

 

 

전국 20개 네트워크 피브로한의원에서는

 

10주년 기념 이벤트로 더욱 합리적인 비용을 통하여

 

내 피부에 맞춤 관리를 진행할 수 있습니다!

 

 

 

 

 


 

 

(위 이미지를 클릭하시면 화농성여드름관리 이벤트 페이지로 이동합니다.)

 

 

 





  • 목록

지점전체이미지
  • 개인정보수집동의 [개인정보취급방침]