• 메디컬아시아
  • 이달의이벤트
  • 로그인
  • 전체메뉴
    • 여드름한의원비용 이벤트 혜택받기!
    •  

       

       

      여드름한의원비용 이벤트 혜택받기!

       

       

       

       

       

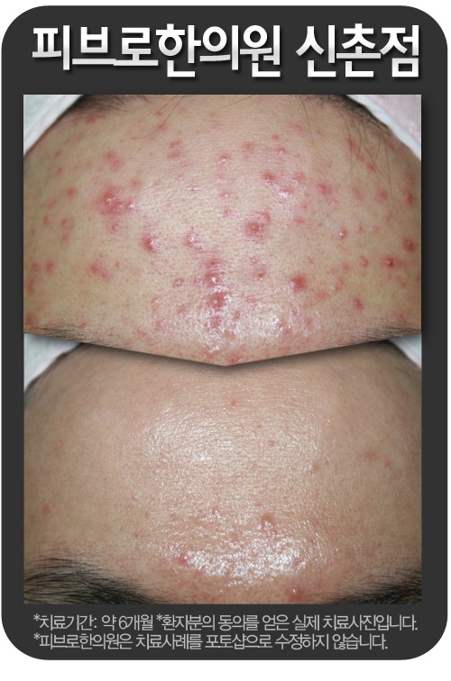
      피부에 올라오고 또 올라오는 여드름부터

       

      피부에 생긴 후 없어지지 않는 여드름흉터 / 자국,

       

      그리고 넓은 모공과 피부탄력, 피부톤의 문제까지!

       

       

       

      전국 20개 네트워크 피브로한의원에서는

       

      10주년 기념 여드름한의원비용 이벤트로

       

      이 부분에 대해 확실하게 해결하기 위해 노력하고있다고 해요~ ^^

       

       

       

       

       


       

       

       

       

      발라도, 잘 관리하고, 숨겨도

       

      결국 없어지지 않고 가려지지 않는 여드름과 그 외 동반증상들!

       

       

       

      전국 20개 피브로한의원에서는

       

      겉 치료 + 속 치료 방법을 통하여

       

      트러블의 증상과 함께 여드름의 원인을 동시에 바로잡는답니다.

       

       

       

       



       

       

       

       

       

      안전한 한방 치료

       

      모든 포커스를 나에게 맞춘 1:1 맞춤 프로그램

       

      바로 일상생활이 가능한 당일치료

       

      자극은 줄이고 효과는 높인 자연주의 치료

       

       

       

      전국 20개 피브로한의원의 여드름한의원비용 이벤트와 함께

       

      올해 2016년에는 여드름으로 고통받지 말아요!

       

       

       





       

       

       

       

      여드름과 그 외 동반증상들,

       

      전국 20명 한의사의 10여년 공동연구 노하우와 함께라면

       

      언제든 없앨 수 있습니다!

       

       

       

      여드름,그 보이지 않는 뿌리까지!

       

      피브로한의원의 여드름한의원비용과 함께 해보세요!

       

       

       

       

       

       


       

       

      (위 이벤트 이미지 클릭시 여드름한의원비용 이벤트 페이지로 이동합니다!)

       

       

       





  • 목록
  • 개인정보수집 [개인정보취급방침]
  • 1
  • 2
  • 여드름
  • 등여드름
  • 1
  • 2
  • 모공
  • 탈모
빠른메뉴보기
닫기
  • 개인정보수집동의 [개인정보취급방침]
닫기
  • 개인정보수집동의 [개인정보취급방침]