여드름 ▼
여드름 치료
여드름 원인
여드름 유형
여드름흉터,자국 ▼
흉터,자국 치료
흉터,자국 원인
흉터,자국 유형
등,가슴여드름 ▼
등,가슴여드름 치료
등,가슴여드름 원인
등,가슴여드름 유형
탈모 ▼
탈모치료
유형별탈모
원인,치료원리
검사 및 진단
다이어트 ▼
다이어트
유형별 비만
한방다이어트
성형붓기 ▼
성형붓기 치료
성형붓기 한약
붓기의 원인
모공각화증 ▼
모공각화증 치료
모공각화증 원인
피부질환 ▼
안면홍조 치료
안면홍조 원인
사마귀 치료
사마귀 원인
지루성피부염 치료
지루성피부염 원인
아토피 치료
아토피 원인
건선 치료
건선 원인
구안와사 치료
구안와사 원인
점빼기
유형별 점
얼굴축소/리프팅
부위별주름개선
동안탄력
정안미백
피브로 소개 ▼
피브로소개, 이념
연혁
공지사항
전국 지점 소개
커뮤니티 ▼
전후사진
치료후기
웹툰
드라마팀닥터
피브로칼럼
리얼셀카후기
이벤트
피브로포스팅
상담 및 예약 ▼
온라인상담
온라인예약
예약확인
카카오톡 상담
치료과정 미리보기
커뮤니티 > 전후사진
+
전후사진
치료후기
웹툰
드라마팀닥터
피브로칼럼
리얼셀카후기
이벤트
피브로포스팅
전체
여드름.흉터
탈모
한방성형
성형붓기
모공각화증
피부질환
다이어트
점.사마귀
기타
>
Before
After
분류 :
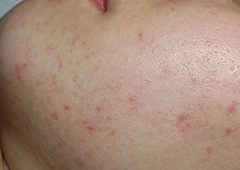
여드름
지점명 :
분당점
치료기간 :
2020년 5월 15일 ~ 2020년 9월 28일
>
Before
After
분류 :
사마귀
지점명 :
창원점
치료기간 :
2013년 8월 7일 ~2013년 11월 9일
>
Before
After
분류 :
사마귀
지점명 :
창원점
치료기간 :
2013년 8월 7일 ~2013년 11월 9일
>
Before
After
분류 :
사마귀
지점명 :
창원점
치료기간 :
2013년 8월 7일 ~2013년 11월 9일
>
Before
After
분류 :
사마귀
지점명 :
창원점
치료기간 :
2013년 8월 7일 ~2013년 11월 9일
>
Before
After
분류 :
사마귀
지점명 :
창원점
치료기간 :
2013년 11월 9일 ~ 2014년 2월 19일
>
Before
After
분류 :
사마귀
지점명 :
창원점
치료기간 :
2013년 4월 8일 ~ 2013년 5월 10일
>
Before
After
분류 :
여드름
지점명 :
창원점
치료기간 :
2015년 2월 9일 ~ 2015년 5월 26일
>
Before
After
분류 :
여드름
지점명 :
창원점
치료기간 :
2018년 7월 25일 ~ 2018년 11월 17일
>
Before
After
분류 :
여드름
지점명 :
창원점
치료기간 :
2018년 5월 9일 ~ 2018년 7월 6일
1
2
3
4
5
6
7
8
9
10
분당점
청주점
창원점
이름
연락처
선택
010
011
016
017
018
019
지점
분당점
청주점
창원점
통화가능시간
오전 10시~12시
오전 12시~14시
오전 14시~16시
오전 16시~18시
내용
개인정보수집동의
[개인정보취급방침]